Bilateral ovarian fibrothecoma. An uncommon cause of a large pelvic mass

Int J Surg Case Rep. 2011; 2(3): 29–31, published online 2010 December 13
Nikolaos S. Salemis,a, Nikolaos Panagiotopoulos,a Vera Papamichail,b Konstantinos Kiriakopoulos,c and Evangelos Niakas

Abstract

Ovarian fibrothecomas are uncommon tumors of gonadal stromal cell origin. They account for 3–4% of all ovarian tumors and in 90% of the cases are unilateral. Here, we describe a rare case of a bilateral ovarian fibrothecoma in a postmenopausal woman who presented with a large pelvic mass and metrorrhagia. Diagnostic evaluation and surgical management are discussed along with a brief review of the literature. Although rare, ovarian fibrothecoma should be considered in patients presenting with a large pelvic mass and postmenopausal bleeding. Radical surgery is the preferred management strategy for postmenopausal women with bilateral ovarian fibrothecomas and is associated with a good prognosis.

1. Introduction

Sex cord-stromal tumors are a distinct group of ovarian tumors representing approximately 8% of all ovarian neoplasms. These tumors are of gonadal cell types which are derived from the coelomic epithelium or the mesenchymal cells of the embryonic gonads. The most common types are granulosa cell tumors, fibrothecomas and Sertoli-Leydig cell tumors.1 These tumors affect all age groups and in 70% of the cases the patients are diagnosed as having stage I lesions at presentation, contrary to the epithelial ovarian tumors where patients present with stage III or IV disease.2 Surgical resection is the preferred treatment for sex cord-stromal tumors and is generally associated with a good prognosis.2 Here, we describe a rare case of a bilateral ovarian fibrothecoma in a 54 year-old woman who presented with postmenopausal bleeding and a large pelvic mass.

2. Presentation of case

A 54-year-old postmenopausal woman presented with a 2-week history of metrorrhagia and a large pelvic mass associated with dull lower abdominal pain. She had gone through the menopause at age of 45 and was not taking any hormone replacement. Her past medical history was significant for arterial hypertension and hypothyroidism.
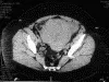
On physical examination a large non tender, well-defined mass was palpated in the pelvis. The haemogram revealed anemia with a haemoglobin level of 9.0 g/dL and a haematocrit of 28.9%. Biochemical investigations, tumor markers and hormonal values were within normal limits. Computed tomography (CT) revealed a large lobular pelvic mass measuring 15 cm × 12 cm probably originating from the right ovary in contact with the anterior uterine surface (Fig. 1). Hysteroscopy demonstrated endometrial polyps. At exploratory laparotomy bilateral ovarian tumors were found and a total hysterectomy with bilateral salpingo-oophorectomy was performed (Fig. 2). Histopathological examination of both ovarian tumors measuring 16 cm × 12 cm × 7.5 cm (right) and 2 cm × 3 cm (left) revealed hypercellularity but pleiomorphism and mitotic rate were minimal (Fig. 3). A detailed immunohistochemical analysis demonstrated that the tumor cells were stained strongly positive for Vimentin, focally positive for Inhibin (Figs. 4 and 5) whereas a negative staining for Desmin, Actin and CD68 was noted. In addition, ki67 proliferation rate was low. Based on these findings the diagnosis of bilateral ovarian fibrothecomas was made. In addition, endometrial polyposis and numerous myometrial leiomyomas were also detected. Postoperative course was uneventful. The patient is well and asymptomatic 8 months after surgery. 

ακτινογραφία

Computed tomography scan of the abdomen demonstrating a large lobular pelvic mass.

υπέρηχος

Computed tomography scan of the abdomen demonstrating a large lobular pelvic mass.

ανάλυση

Histopathological findings of ovarian fibrothecoma. The tumor is hypercercullar but pleomorphism and mitotic rate are minimal (H&E stain).

3. Discussion

Ovarian fibrothecomas are uncommon tumors of gonadal stromal cell origin accounting for 3–4% of all ovarian tumors.3,4 They are rarely malignant5,6 and in 90% of the cases are unilateral.4
Ovarian fibrothecomas are composed of an admixture of fibrous and thecomatous elements.7 Histologically, these tumors are characterized by the presence of spindle, oval or round cells forming various amounts of collagen5 and also contain a smaller population of theca cells that contain intracellular lipid.3
Edema and cystic degeneration are relatively common especially in large fibrothecomas whereas calcification and hemorrhage are rarely observed.3,5 On gross examination the tumor has a white whorled appearance closely resembling uterine leiomyomas.3 The tumor may be spherical or lobulated and is covered by intact ovarian mucosa.8
Fibrothecomas occur predominately in older postmenopausal women.4 They may be associated with Meigs syndrome, characterized by the presence of hydrothorax and ascites8 and elevated CA 125 levels.7 Clinical presentation is often non specific8 while patients most commonly present with a pelvic mass, metrorrhagia and pelvic pain.9 Torsion is not an uncommon presentation occurring in 8% of the patients.9
Endocrine manifestations due to hormonally active tumors are rare.4 In case the fibrothecoma displays estrogenic activity, associated uterine changes such as uterine enlargement and endometrial thickening may be demonstrated mainly on Magnetic Resonance Imaging (MRI) imaging.5,8
On CT scan, ovarian fibrothecomas may appear as a homogenous solid tumor with varying degrees of enhancement.10 In 79% of the cases the tumor appears as a solid mass with delayed accumulation of contrast medium, while in 21% of the cases the tumor is partly or mainly cystic thus making differential diagnosis from other ovarian masses, such as serous cystadenofibromas or even malignant tumors, difficult.9 The absence of arterial vessels and the absence or slight early uptake of contrast enhancement are characteristic signs and may be useful in considering the diagnosis of a fibrothecoma preoperatively.9 On MRI, fibrothecomas typically show predominantly low signal intensity on T2-weighted images.3
Differential diagnosis of fibrothecomas includes pedunculated and intraligamentous leiomyomas and other solid ovarian masses such as Brenner tumors, granulosa cell tumors and dysgerminomas.3,5,8 In the presence of extensive cystic degeneration, the fibrothecoma can be easily mistaken for a malignant ovarian tumor.8 Thus, an accurate preoperative diagnosis by MRI may prevent an excessive surgical intervention. The characteristic feature of fibrothecoma with extensive cystic degeneration on MRI imaging is the presence of a solid portion that exhibits distinct low signal intensity on both T-1 and T-2 weighted images and slight enhancement on post contrast enhanced images.8
Early diagnosis and surgical resection is the treatment of choice for ovarian fibrothecomas.10 Tumorectomy is indicated for young patients while radical surgery in terms of bilateral salpingo-oophorectomy is indicated for perimenopausal and menopausal patients.4 

4. Conclusions

Bilateral ovarian fibrothecoma is a rare occurrence. Ovarian fibrothecoma should be considered in women presenting with postmenopausal bleeding, pelvic pain and a large pelvic mass. Radical surgical excision is the preferred treatment for postmenopausal women and is associated with a good prognosis.

Conflict of interest statement

The authors declare no conflicts of interest.

Funding

None.

Ethical approval statement

Written informed consent was obtained from the patient for the publication of this case report and accompanying images. A copy of the written consent is available for review by the Editor-in-Chief of this journal on request.

Open access

This article is published Open Access at sciencedirect.com. It is distributed under the IJSCR Supplemental terms and conditions, which permits unrestricted non commercial use, distribution, and reproduction in any medium, provided the original authors and source are credited. 

References

1. Outwater E.K., Wagner B.J., Mannion C., McLarney J.K., Kim B. Sex cord-stromal and steroid cell tumors of the ovary. Radiographics. 1998;18:1523–1546. [PubMed]
2. Jung S.E., Rha S.E., Lee J.M., Park S.Y., Oh S.N., Cho K.S. CT and MRI findings of sex cord-stromal tumor of the ovary. AJR. 2005;185:207–215. [PubMed]
3. Troiano R.N., Lazzarini K.M., Scoutt L.M., Lange R.C., Flynn S.D., McCarthy S. Fibroma and fibrothecoma of the ovary: MR imaging findings. Radiology. 1997;204:795–798. [PubMed]
4. Chechia A., Attia L., Temime R.B., Makhlouf T., Koubaa A. Incidence, clinical analysis, and management of ovarian fibromas and fibrothecomas. Am J Obstet Gynecol. 2008;199(473):e1–4. [PubMed]
5. Imaoka I., Wada A., Kaji Y., Hayashi T., Hayashi M., Matsuo M. Developing an MR imaging strategy for diagnosis of ovarian masses. Radiographics. 2006;26:1431–1448. [PubMed]
6. Liu H., Hao S.H., Li W.M. Giant malignant ovarian fibrothecoma involved with retroperitoneal structures mimicking a retroperitoneal sarcoma. Arch Gynecol Obstet. 2009;279:763–765. [PubMed]
7. Angeles R.M., Salem F.L., Sirota R.L. A right ovarian mass in a 71-year-old woman with ascites and elevated CA 125 level. Fibrothecoma of the right ovary. Arch Pathol Lab Med. 2005;129:701–702. [PubMed]
8. Takeshita T., Shima H., Oishi S., Machida N., Yamazaki K., Imamura T. Ovarian fibroma (fibrothecoma) with extensive cystic degeneration: unusual MR imaging findings in two cases. Radiat Med. 2005;23:70–74. [PubMed]
9. Bazot M., Ghossain M.A., Buy J.N., Deligne L., Hugol D., Truc J.B. Fibrothecomas of the ovary: CT and US findings. J Comput Assist Tomogr. 1993;17:754–759. [PubMed]
10. Mak C.W., Tzeng W.S., Chen C.Y. Computed tomography appearance of ovarian fibrothecomas with and without torsion. Acta Radiol. 2009;50:570–575. [PubMed] 

Παγκόσμιος Οργανισμός Υγείας

Η υγεία μας είναι το πολυτιμότερο αγαθό

Σύμφωνα με το παγκόσμιο οργανισμό υγείας και σε συνεργασία με επιφανής ιατρούς η θεραπεία σας γίνεται υπόθεση όλων μας.

Ευάγγελος Χρ.Νιάκας
Χειρουργός MD, μέλος IFSO |
Διευθυντής-Επιστημονικά Υπεύθυνος Χειρουργικού Τμήματος Κεντρικής Κλινικής Αθηνών

Επικοινωνία

Κων/νου Παλαιογόλου 5, Πλ.Τερψιθέας 18535, Πειραιάς

+ 30 694 7698686

+30 2103674000
+30 2103674060

drevnia1@hotmail.com